Deja, šaltuoju metų laiku išvengti peršalimo ar kitų kvėpavimo takų susirgimų dažnai nepavyksta. Tiesa, paprastai tokios ligos žymesnių sveikatos problemų nesukelia ir pasirūpinus tinkamu jų gydymu greitai praeina. Tačiau kartais simptomai gali signalizuoti apie kur kas rimtesnę būklę. Plaučių uždegimas, dar žinomas kaip pneumonija, yra rimta kvėpavimo sistemos liga, kuri gali paveikti bet kokio amžiaus žmones ir gali sukelti net mirtį. Ši liga pasireiškia, kai bakterijos ar virusai patenka į alveoles. Plaučių uždegimas yra pakankamai dažna liga, ypač šaltuoju metų laiku, kai susidaro palankios sąlygos virusams ir bakterijoms plisti. Šiame straipsnyje aptarsime plaučių uždegimo simptomus, priežastis bei gydymo būdus, ypatingą dėmesį skiriant ligos atpažinimui vaikams.

Plaučių uždegimas, dar vadinamas pneumonija, yra infekcinė kvėpavimo takų liga, kuri paveikia plaučių audinį, ypač alveoles. Plaučių uždegimas - tai infekcija, pažeidžianti plaučių audinį ir apsunkinanti kvėpavimą. Esant uždegimui, alveolės užsipildo skysčiais ar pūliais, todėl plaučiai praranda gebėjimą tinkamai atlikti savo pagrindinę funkciją - užtikrinti efektyvų deguonies tiekimą organizmui. Plaučių uždegimu susergama, kai mikrobai patenka į plaučius ir sukelia infekciją. Imuninės sistemos reakcija į infekciją sukelia plaučių oro maišelių (alveolių) uždegimą. Ši liga gali būti sukelta įvairių patogenų: bakterijų, virusų ar net toksinių medžiagų patekimo į plaučius.
Neretai plaučių uždegimas yra laikomas mažų vaikų bei pagyvenusių žmonių liga: juo dažniausiai suserga vaikai iki 3 m. amžiaus bei 65+ m. asmenys. Plaučių uždegimo rizika ypač didelė kūdikiams ir mažiems vaikams, kurių imuninė sistema dar nėra pilnai išsivysčiusi. Vaikams didesnė rizika susirgti yra jaunesniems nei 5 metų. Plaučių uždegimas vaikams ir kūdikiams yra viena labiausiai paplitusių kvėpavimo sistemos ligų, kuri gali sukelti mirtį. Dėl dar nesubrendusių imuniteto mechanizmų infekcija vaikams gali plisti sparčiau, o simptomai dažniausiai būna stipresni ir šiek tiek skiriasi nuo suaugusiųjų simptomų. Negydomas arba netinkamai gydomas plaučių uždegimas vaikams sukelia ir didesnę sunkesnių komplikacijų riziką, dėl ko padidėja mirties rizika, todėl itin svarbu neatidelioti vizito pas gydytoją. Užsitęsęs kosulys, dusulys ar vangumas vaikui - rimtas signalas, kad būtina profesionali pagalba.

Plaučių uždegimas atsiranda dėl įvairių patogenų, kurie įsiskverbia į kvėpavimo sistemą ir sukelia plaučių audinių uždegimą. Dažniausios plaučių uždegimo priežastys yra bakterijos ir virusai, kurie gali būti perduodami tiesioginio kontakto su infekuotu asmeniu, oro lašeliniu būdu arba netiesiogiai - per užterštus paviršius. Taip pat įtakos turi būklės, susijusios su imuniniais mechanizmais, piktybiniais navikais, tokios ligos kaip lėtinė obstrukcinė plaučių liga, bronchinė astma bei cukrinis diabetas.
Rizikos veiksniai, didinantys plaučių uždegimo tikimybę, gali būti įvairūs. Vienas svarbiausių - nusilpusi imuninė sistema, kuri būdinga kūdikiams, vyresnio amžiaus žmonėms, taip pat asmenims, sergantiems ŽIV/AIDS ar gydomiems chemoterapija. Žmonės su nusilpusia imunine sistema yra didžiausios rizikos grupėje. Grybai iš dirvožemio ar paukščių išmatų gali sukelti plaučių uždegimą. Dažniausiai šios rūšies pneumonija suserga žmonės su nusilpusia imunine sistema. Nors pats plaučių uždegimas nėra užkrečiamas, bakterijos ir virusai, kurie jį sukelia, yra. Grybelio sukeltas plaučių uždegimas nėra užkrečiamas.
Plaučių uždegimo simptomai gali būti įvairūs ir priklausyti nuo ligos sukėlėjo, paciento amžiaus bei bendros sveikatos būklės. Plaučių uždegimo požymiai ir simptomai gali svyruoti nuo lengvų iki sunkių, priklausomai nuo tokių veiksnių kaip infekciją sukeliantys mikroorganizmai, amžius ir bendra sveikatos būklė.
Tačiau pagrindiniai simptomai, kurie dažniausiai pasireiškia, yra karščiavimas, stiprus kosulys ir dusulys. Karščiavimas dažnai pasireiškia kartu su šaltkrėčiu ir prakaitavimu. Kosulys gali būti sausas arba lydimas skreplių, kuriuose kartais gali būti matomos ir kraujo priemaišos. Dusulys atsiranda, nes alveolėms užsipildžius skysčiais, sumažėja deguonies įsisavinimo efektyvumas. Be pagrindinių simptomų, plaučių uždegimas dažnai sukelia bendrą silpnumą, nuovargį ir raumenų skausmus, panašius į tuos, kurie būdingi peršalimui ar gripui. Kai kurie pacientai gali jausti krūtinės skausmą, kuris paaštrėja kosint ar giliai įkvepiant.
Naujagimiai ir kūdikiai kartais nerodo aiškių infekcijos požymių. Vaikams ir kūdikiams simptomai gali būti sunkiau atpažįstami - jie gali pasireikšti dirglumu, vangumu, apetito praradimu ar vėmimu. Vaikams plaučių uždegimas dažnai pasireiškia aukšta temperatūra, greitu kvėpavimu, vangumu, kartais - kosuliu ar pilvo skausmu. Retais atvejais pasireiškia pilvo skausmai, pykinimas (dažniausiai šie simptomai pasireiškia vaikams).
Vienas sudėtingiausių uždavinių - atskirti, kada tai tik nemalonus peršalimas, o kada - rimta liga. „Peršalimas kiekvienam gali pasireikšti skirtingais simptomais, dažniausiai nosies užgulimu, sloga, gerklės skausmu, čiaudėjimu, kosuliu, galvos ir sąnarių skausmais, bendru silpnumu, nuovargiu bei neaukšta temperatūra - tai požymiai, kad virusas tiesiogiai veikia kvėpavimo sistemą“. Pirmieji peršalimo simptomai įprastai pasireiškia praėjus 1-3 dienoms po užsikrėtimo ir gali trukti iki 7-14 dienų.
Pneumoniją nuo peršalimo skiria simptomų lokalizacija ir sunkumas. Jei peršalimas yra „galvos” liga (sloga, gerklė), tai pneumonija yra „krūtinės” liga. Esminis skirtumas - kvėpavimo sunkumai. Sergant peršalimu, dusulio nebūna (nebent nosis visiškai užgulta). Sergant pneumonija, jaučiamas oro trūkumas ateina iš plaučių gilumos.
| Simptomas | Peršalimas | Gripas | Plaučių uždegimas (Pneumonija) |
|---|---|---|---|
| Pradžia | Laipsniška | Staigi | Gali būti laipsniška arba staigi, priklausomai nuo sukėlėjo |
| Karščiavimas | Nedidelis arba nėra | Aukštas (38-40 °C), staigus | Aukštas (38-40 °C), gali ir nebūti (ypač vaikams, senjorams) |
| Kosulys | Susijęs su gerklės dirginimu, gali būti sausas | Dažniausiai sausas | Sausas arba drėgnas su skrepliais, gali būti aštrus |
| Dusulys | Nėra (išskyrus labai užgultą nosį) | Gali būti lengvas, esant komplikacijoms | Yra, net ramybės būsenoje; oro trūkumas iš plaučių gilumos |
| Kiti simptomai | Sloga, užgulta nosis, čiaudulys, gerklės skausmas | Stiprūs raumenų ir galvos skausmai, bendras silpnumas, nuovargis | Krūtinės skausmas (sustiprėja kosint/įkvepiant), šaltkrėtis, prakaitavimas, bendras silpnumas. Vaikams: dirglumas, vangumas, apetito praradimas, vėmimas, pilvo skausmai. |
| Simptomų lokalizacija | Viršutiniai kvėpavimo takai ("galvos" liga) | Bendras organizmo negalavimas | Plaučių audinys ("krūtinės" liga) |
„Jei karščiuojate ilgiau nei 5 dienas arba ilgiau nei 3 dienas laikosi aukštesnė nei 38,5 °C temperatūra, kosulys gilėja, stiprėja, atsiranda švokštimas, dusimas, o per savaitę savijauta ne gerėja, bet prastėja, vertėtų kreiptis į savo gydytoją“. Įgytą plaučių uždegimą galima įtarti, kai atsiranda ūminiai respiraciniai simptomai: stiprus kosulys, skrepliavimas, krūtinės skausmas, dusulys, padidėjęs kvėpavimo dažnis ir karščiavimas. Tiesa, jei organizmas yra nusilpęs, net esant stipriam uždegimui, temperatūra gali nepakilti. Tai klaidina pacientą ir gydytoją, be to organizmui tampa sunkiau įveikti infekciją. Vaikams ir kūdikiams bet kokie įtartini simptomai, ypač padažnėjęs kvėpavimas, vangumas ar apetito praradimas, turėtų būti nedelsiant įvertinti gydytojo.

Plaučių uždegimas gali pasireikšti skirtingai - nuo stiprių simptomų iki visiško jų nebuvimo.
Tokios plaučių uždegimo formos metu pacientas visiškai nekarščiuoja - temperatūra išlieka pastovi. Suaugusieji ar vaikai gali atrodyti beveik sveiki, tačiau juos vargina nuolatinis kosulys, dusulys, nuovargis, prakaitavimas naktimis, gali būti krūtinės spaudimo pojūtis. Taip, gali. Plaučių uždegimas be temperatūros dažnesnis vyresnio amžiaus žmonėms, nusilpusios imuniteto asmenims ar sergantiems lėtine liga.
Atipinis plaučių uždegimas - kai ligonis neturi ne tik aukštos temperatūros, bet ir kitų įprastų požymių, kuriuos dažniausiai siejame su pneumonija (plaučių uždegimu). Besimptomis plaučių uždegimas - tai ligos forma, kai nepasireiškia tipiški simptomai, tokie kaip karščiavimas, kosulys ar krūtinės skausmas. Vietoje to pasireiškia tik bendresni negalavimai: nuolatinis silpnumas, energijos stoka, miego sutrikimai, naktinis prakaitavimas, sumažėjęs apetitas ar dusulys net atliekant kasdienius darbus. Toks netipiškas pasireiškimas ypač dažnas kūdikiams, vyresnio amžiaus žmonėms ar pacientams, kurių imunitetas nusilpęs. Besimptomis plaučių uždegimas neretai nustatomas pavėluotai arba atsitiktinai, kadangi liga progresuoja tyliai ir dėl tokių „užmaskuotų“ simptomų pacientai laiku nesikreipia į gydytoją. Būtent vėlyva diagnozė kelia didžiausią pavojų, nes laiku nepradėjus gydymo ši ligos forma gali komplikuotis į kvėpavimo nepakankamumą, pleuritą (plaučių gleivinės uždegimą) ar infekcijos išplitimą organizme. Egzistuoja ir klastinga ligos forma, vadinama atipine arba „vaikščiojančia” pneumonija (angl. walking pneumonia). Ją dažniausiai sukelia Mycoplasma pneumoniae bakterijos.
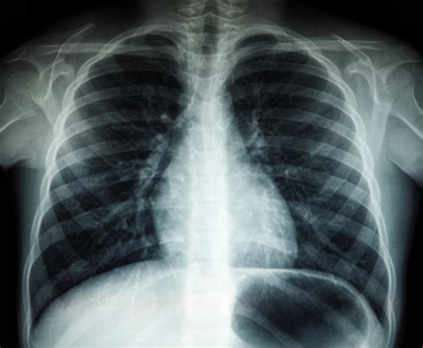
Plaučių uždegimo diagnozė prasideda nuo išsamios medicininės anamnezės ir fizinės apžiūros. Gydytojas klausia apie paciento simptomus, jų trukmę ir stiprumą, taip pat apie galimą kontaktą su infekuotais asmenimis. Pirmiausia gydytojas išsiaiškina, kokie simptomai pasireiškia bei kaip ir kada jie atsirado. Fizinės apžiūros metu stetoskopu klausomi plaučiai, siekiant aptikti būdingus garsus, kurie rodo galimą uždegimą. Klausant (auskultuojant) plaučius tam tikroje jų dalyje, kur prasidėjo galimas plaučių uždegimas, aptinkami karkalai. Įtariant plaučių uždegimą, vizitas pas gydytoją yra būtinas. Namų sąlygomis patvirtinti diagnozės neįmanoma.
Tikslesnei diagnozei nustatyti gali būti atliekami įvairūs laboratoriniai ir instrumentiniai tyrimai:

Plaučių uždegimo gydymas priklauso nuo ligos sukėlėjo, sunkumo ir paciento sveikatos būklės. Tačiau pagrindinis gydymo tikslas visuomet išlieka toks pat - pašalinti infekciją, palengvinti simptomus ir užkirsti kelią komplikacijoms. Kiekvienu atveju svarbu pradėti gydymą kuo greičiau, kad liga neprogresuotų ir nepakenktų organizmui dar labiau, sukeliant komplikacijas.
Žinoma, svarbus ir gyvenimo būdas. Pacientui rekomenduojamas poilsis ir lovos režimas, kad organizmas galėtų efektyviai kovoti su infekcija. O gausus skysčių vartojimas padeda atstatyti prarastus skysčius ir skystina skreplius, palengvindamas jų pašalinimą. „Verta nepamiršti ir imunitetą stiprinančių preparatų, vitaminų, tokių kaip vitaminai C ir D bei cinkas. Na, o sunkiais atvejais gali prireikti hospitalizacijos, ypač jei pacientas priklauso rizikos grupėms arba susiduria su komplikacijomis, tokiomis kaip kvėpavimo nepakankamumas. Intensyviosios terapijos skyriuje gali būti gydomi pacientai, kuriems reikia dirbtinės plaučių ventiliacijos arba turintys sunkius simptomus.

Nors daugeliu atvejų plaučių uždegimas sėkmingai išgydomas, ši liga gali sukelti ir rimtų komplikacijų, ypač jei nėra gydoma laiku arba jei paciento sveikatos būklė yra labai silpna. Viena dažnų komplikacijų yra pleuritas, kai uždegimas iš plaučių išplinta į pleuros membranas, apsupančias plaučius. Tai gali sukelti intensyvų skausmą krūtinės srityje ir apsunkinti kvėpavimą. Kita rimta komplikacija - plaučių abscesas, kai infekcijos paveiktoje plaučių dalyje susidaro pūlių sankaupa. O kvėpavimo nepakankamumas yra viena pavojingiausių komplikacijų, kai plaučiai nebegali aprūpinti organizmo pakankamu deguonies kiekiu. Negydomas plaučių uždegimas dažnai sukelia kvėpavimo funkcijos nepakankamumą, kuris gali būti lengvas arba progresuojantis. Be to, jei pneumoniją sukėlė bakterijos, jos gali išplisti už plaučių ribų ir sukelti sepsį - pavojingą organizmo sisteminę reakciją, kuri gali būti mirtina, jei nesuteikiama skubi medicininė pagalba. Komplikacijų rizika didesnė vaikams iki 5 metų, vyresnio amžiaus žmonėms, nusilpusią imuninę sistemą turintiems asmenims bei tiems, kurie serga lėtinėmis ligomis (pvz.: astma, širdies ar inkstų nepakankamumu). Būtent dėl šių komplikacijų laiku kreiptis į gydytoją, pastebėjus bent vieną iš plaučių uždegimo simptomų, ir pradėti tinkamą gydymą yra gyvybiškai svarbu.
Pati efektyviausia apsisaugojimo priemonė nuo pneumokokinės infekcijos - skiepai. Jie yra įtraukti į Nacionalinės imunoprofilaktikos programą, todėl nemokamai skiriami kūdikiams. Verta atkreipti dėmesį, kad plaučių uždegimas - dažniausia pneumokokinės infekcijos, kuri pavojingiausia vaikams iki 5 m. ir vyresniems nei 65 m. amžiaus pacientams, sukeliama liga. Be to, pneumokokine vakcina skiepijami asmenys, įrašyti į rizikos grupių sąrašą, pavyzdžiui, pacientai, kuriems atliekama dializė, sergantieji onkologinėmis, reumatinėmis ir kitomis ligomis, o nuo 2023 m. Lietuvoje vaikai skiepijami PVC vakcina (skiepais nuo pneumokoko) bei vakcina nuo kokliušo. Taip pat rekomenduojama pasiskiepyti nuo gripo ir COVID-19. „Svarbu prisiminti, kad sveikstant derėtų kiek įmanoma apriboti kontaktą su šeimos nariais ir draugais, jog mikrobai neplistų kitiems žmonėms. Higiena: laikykitės kosėjimo ir čiaudėjimo higienos, tai daryti į servetėlę, delną ar alkūne.
Atsigavimas po plaučių uždegimo gali būti ilgas procesas. Nors kai kuriems žmonėms sveikata pagerėja per savaitę, kitiems gali prireikti mėnesio ar daugiau, kol jie jausis geriau. Visą mėnesį gali išlikti nuovargis, kosulys, energijos stoka, todėl labai svarbu suteikti kūnui pakankamai laiko atsigauti. Poilsis: Tinkamas poilsis yra ypatingai svarbus visiškam atsigavimui. Reabilitacijos laikotarpiu gali būti rekomenduojami specialūs kvėpavimo pratimai, padedantys atkurti plaučių funkciją. Mityba turi būti pilnavertė, turtinga baltymų ir vitaminų. Būtina vartoti daug skysčių, kad suskystėtų likę skrepliai ir būtų lengviau juos pašalinti. Sveikimo laikotarpiu rekomenduojama vengti didelio fizinio krūvio, tačiau visiškai gulėti lovoje taip pat nepatartina. Lengvas judėjimas, pavyzdžiui, trumpi pasivaikščiojimai gryname ore, skatina plaučių ventiliaciją ir kraujotaką. Specialiai parinktos vitaminų ir mikroelementų lašelinės gali padėti greičiau atsigauti po plaučių uždegimo, sustiprinti imuninę sistemą ir sumažinti ligos komplikacijų tikimybę. Galiausiai, nepamirškite pakartotinio vizito pas gydytoją. Paprastai po gydymo kurso (praėjus apie mėnesiui) rekomenduojama pakartoti rentgeno tyrimą, kad būtų įsitikinta, jog plaučiuose neliko uždegiminių pakitimų ir infekcija visiškai įveikta.
