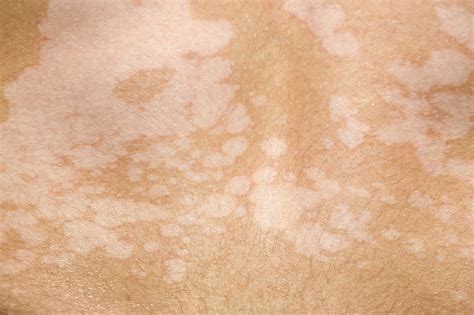
Įvairiaspalvė dedervinė, dar kitaip vadinama *tinea versicolor* ar *pityriasis versicolor*, yra gana dažnai pasitaikanti paviršinė odos grybelinė infekcija. Šiai ligai būdinga, kad odoje atsiranda hipopigmentinės, hiperpigmentinės ar švelniai raudonos spalvos dėmės.

Įvairiaspalvė dedervinė yra paviršinė odos grybelinė infekcija, kurią sukelia Malassezia genčiai priklausantys grybeliai. Šie grybeliai yra normalios odos mikrofloros dalis, tačiau tam tikromis aplinkybėmis jie gali pradėti aktyviai daugintis ir sukelti odos infekciją. Dažniausiai ligą sukelia *M. globosa* rūšis, rečiau - *M. furfur* ir kitos.
Pagrindinė įvairiaspalvės dedervinės priežastis yra *Malassezia* genčiai priklausančių grybelių aktyvumas. Nors šie grybeliai natūraliai gyvena ant odos, tam tikri veiksniai gali paskatinti jų patogeninę transformaciją:
Svarbu pažymėti, kad įvairiaspalvė dedervinė nėra užkrečiama liga ir jos atsiradimas nesusijęs su nepakankama higiena.
Dažniausiai pacientai nejaučia jokių specifinių simptomų, išskyrus estetinius pakitimus odoje. Kartais gali pasireikšti nestiprus niežulys. Ligai būdinga tai, kad odoje atsiranda:
Pradžioje dėmės būna nedidelės, vėliau jos didėja ir susilieja į didesnes, įvairios formos plotus. Ant pažeistos odos dažnai būna pleiskanų, kurios akivaizdžiau pastebimos pagramdžius odą.

Nors paaugliams ir suaugusiems bėrimai dažniausiai atsiranda viršutinėje liemens dalyje, nugaroje, pečiuose ir rankose, vaikams situacija gali skirtis. Vaikams veidas pažeidžiamas dažniau, taip pat gali būti pažeidžiama kirkšnių sritis.
Įvairiaspalvė dedervinė dažniausiai diagnozuojama apžiūrėjus odą ir nustačius tipinius bėrimus. Siekiant patvirtinti diagnozę, gali būti atliekami šie tyrimai:
Įvairiaspalvę dedervinę svarbu atskirti nuo kitų panašių ligų, tokių kaip seborėjinis dermatitas, raudonoji ir baltoji dedervinė, vitiligo, eritrazma, fungoidinė mikozė, sifilis ir kt.
Gydymas priklauso nuo ligos išplitimo ir sunkumo:
Pigmentacijos pakitimai išnyksta ir oda įgauna normalią išvaizdą tik praėjus keletui mėnesių po sėkmingo gydymo. Jei gydymo efektyvumas kelia abejonių, galima pakartoti mikroskopinį odos mėginio tyrimą. Jei liga nepasiduoda gydymui ar dažnai kartojasi, vertėtų atlikti papildomus tyrimus, siekiant atmesti galimus imuninės sistemos sutrikimus.
Pacientams, kuriems įvairiaspalvė dedervinė dažnai kartojasi, ypač turintiems imuninės sistemos sutrikimų, rekomenduojama profilaktika, siekiant išvengti ligos paūmėjimo. Tai gali būti:
Svarbu prisiminti, kad profilaktika ypač rekomenduojama karštuoju metų laiku, kai grybeliui daugintis palankesnės sąlygos.
