Nėštumo 11-oji savaitė žymi pirmojo trimestro pabaigą. Šiuo laikotarpiu moters organizmas pradeda prisitaikyti prie nėštumo, todėl daugelis ankstyvųjų simptomų, tokių kaip pykinimas ir nuovargis, pamažu mažėja. Tuo tarpu mažylis įsčiose sparčiai auga ir vystosi.
Vienuoliktos nėštumo savaitės pabaigoje jūsų vaikelis yra maždaug figos dydžio. Jo ilgis nuo galvos iki stuburgalio siekia daugiau nei 4 cm, o svoris - apie 7 gramus. Daugiau nei pusę vaikelio ūgio dabar sudaro jo galvelė, kurioje sparčiai vystosi smegenys. Nors akys jau susiformavusios, vokai dar ilgai liks sulipę. Rankytės ir kojytės pilnai susiformavusios, pirštukai atskirti. Šiuo vystymosi periodu pradeda formuotis mažylio refleksai, jis aktyviai spardosi ir ražosi, nors šie judesiai dar labai švelnūs ir plastiški. Taip pat vystosi diafragma, todėl vaikelis gali pradėti žagsėti. Vaisiaus dydis lyg figos.

Vaisius jau pradeda ryti vaisiaus vandenis, kas padeda vystytis virškinimo sistemai. Jo kepenys pradeda gaminti tulžies skystį, o inkstai pradeda dirbti ir gaminti šlapimą, kuris didina vaisiaus vandenų tūrį. Vaisiaus kūnelis jau susiformavęs, taip pat susiformavo unikalus piešinys pirštų galiukuose - pirštų atspaudai. Kaulai kasdien tvirtėja, vaisius gali suspausti didesnius pirštelius į kumštuką. Atsiranda delnų odos jautrumas, vaisius jau turi griebimo instinktą. Odoje kuriasi plaukų, nagų ir liaukų užuomazgos. Akys dar toli viena nuo kitos, ausys išsidėsčiusios žemiau, kojos trumputės palyginus su kūnu. Prasideda akių rainelės formavimasis. Dirba burnos raumenys: mažylis sučiaupia lūpas, praveria ir užčiaupia burnytę. Jis gali įtraukti ir nuryti skystį, kuris jį supa. Susiformavo balso stygos.
Vaikelis jau yra dydžio sulig Briuselio kopūsto galvute. Per savaitę jis paaugs iki 4 cm ilgio ir 7-8 gramų svorio. Jo oda vis dar permatoma, todėl dauguma kraujagyslių persišviečia. Vystantis diafragmai vaikelis gali pradėti žagsėti. Nepamirškite: kiekvienas vaikelis vystosi šiek tiek skirtingai.
Daugeliui moterų vienuoliktą nėštumo savaitę pradeda retėti pykinimo priepuoliai, atsiranda energijos pliūpsnis. Jei esate viena iš tokių, pats metas pradėti lengvai mankštintis. Bus lengviau išnešioti vis augantį vaikelį, gimdyti ir atsistatyti po gimdymo. Hormonai stabilizuojasi, nors nėštumo hormonų dar daug, organizmas prie jų jau pripranta, todėl mažėja pykinimas, galvos svaigimas ar emociniai šuoliai. Kai kurioms moterims šiuo metu simptomai visiškai išnyksta.
Gali padidėti apetitas. Daugeliui moterų grįžta noras valgyti, išnyksta maisto baimė. Svarbu rinktis maistingą, įvairią mitybą, kad palaikytumėte energiją ir aprūpintumėte vaisių reikalingomis medžiagomis. Krūtys vis dar gali būti padidėjusios, jautrios - tai normalu, nes jos ruošiasi pieno gamybai. Dažnas šlapinimasis taip pat yra įprastas reiškinys, nes auganti gimda vis dar spaudžia šlapimo pūslę.
Galimi galvos skausmai. Dėl kraujotakos pokyčių ar dehidratacijos gali atsirasti lengvas galvos skausmas - gerti daug vandens, ilsėtis ir stebėti savijautą padeda. Jūsų gimda auga kartu su vaikučio augimu. Ji užpildo beveik visą dubens sritį, ją lengva apčiuopti apatinėje pilvo dalyje, virš gaktikaulio. Kol kas jūs nejaučiate mažylio judesių.
Jūsų centrinės nervų sistemos veikla suprastėja, atsiranda didelė nuotaikų kaita, emocijos tampa dar intensyvesnės. Nuo vienuoliktos iki dvidešimtos nėštumo savaitės vaisius sparčiai vystysis. Tam, kad būtų patenkintas jūsų kūdikio apetitas, didėja kraujagyslių kiekis placentoje.

Ar sveriatės kiekvieną savaitę? Kiek kilogramų jau priaugote? Paprastai moterys iki 12 nėštumo savaitės priauga vos 1-2 kg. Tai yra normalus svorio prieaugis. Jei gerokai jį viršijate, pabandykite peržvelgti savo mitybą. Gali būti, kad pastebėsite, jog jūsų rankų ir kojų nagai suplonėję, lūžinėja. Tas pats ir su plaukais. Vienoms moterims tai nutinka nėštumo metu, kitoms po gimdymo pradeda be galo stipriai slinkti plaukai. Tačiau vėliau viskas normalizuojasi. Nors stiprinantis plaukus šampūnas būtų neprošal.
Nėštumo metu strijos atsiranda ne vien todėl, kad pilvo ir krūtų oda labai greitai auga bei tempiasi. Kaip žinote, mūsų oda yra pakankamai elastinga. Numatyti, kaip hormoniniai pokyčiai paveiks mūsų odą nėštumo metu, neįmanoma. Net jei jums ir nebuvo strijų pirmojo nėštumo metu, tai nesuteikia garantijų, kad jų nebus vėlesnių nėštumo metu. Svarbiausia kovoje su jomis - sistemingumas ir nuolatinė odos priežiūra. Tinkamai subalansuota mityba ir tam tikras fizinis krūvis, kaip ilgi pasivaikščiojimai ar plaukiojimas, padės jums nelengvoje kovoje su galimomis strijomis. Žinoma, kiekvienos moters oda unikali, todėl 100% garantijos kovoje su strijomis nėra. Tačiau reguliari odos priežiūra padidins galimybes užkirsti kelią strijoms.
Pasisverkite. Kiekvienos savaitės svorį užsirašykite, kad galėtumėte stebėti svorio prieaugį.
Metas fotografuotis. Jeigu fotografuojatės kas savaitę, tai bus jau penktoji jūsų pilvelio nuotraukėlė.
Mityba. Šią savaitę reikėtų skirti daugiau dėmesio angliavandeniams. Jie yra svarbiausias energijos šaltinis besivystančiam vaikeliui, taip pat jūsų kūne jie užtikrina tinkamą baltymų panaudojimą. Tačiau reikia nepamiršti, kad angliavandeniai gali būti „gerieji” ilgos grandinės ir „blogieji” trumpos grandinės. „Gerieji” angliavandeniai - tai visi pilno grūdo (neapdoroti) grūdai ir jų produktai, tokie kaip: pilno grūdo makaronai, duona, grikiai, laukiniai ar rudieji ryžiai. Nepamirškite vartoti kuo daugiau ir įvairių šviežių daržovių ir nesaldžių vaisių, tai ne tik gerųjų angliavandenių, bet ir skaidulų šaltinis. Ir žinoma, ankštinės daržovės, tokios kaip pupelės, avinžirniai ir žirniai - puikus „gerųjų” angliavandenių šaltinis. Venkite „blogųjų” angliavandenių: kepiniai ir kiti produktai iš baltų miltų, greitas maistas, pusgaminiai, saldainiai, šokoladukai.

Bendraukite su kitomis nėštukėmis. Nėštumo metu jums kils daug klausimų, abejonių, būtų puiku, jeigu turėtumėte su kuo pasikalbėti, pasitarti. Pats metas apgalvoti, kurios jūsų draugės laukiasi ar neseniai pagimdė.
Sportas. Ar reguliariai sportuojate? Jei ne, pats laikas pradėti mankštintis. Pratimai pagerina raumenų tonusą, padidina jėgą ir ištvermę - tai trys svarbios savybės, padedančios nešioti nėštumo metu priaugusį svorį. Kokios sporto šakos yra saugios nėštumo metu? Plaukimas ir vaikščiojimas! Elgtumėtės neatsakingai, jei nėštumo metu rinktumėtės kontaktinę ar ekstremalią sporto rūšį arba tokią, kur yra tikimybė griūti ar susižeisti (pavyzdžiui, važiavimas dviračiu, riedučiais).
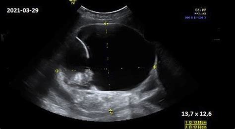
Jei dar nepadarėte - 11-13 savaitę atliekamas pirmasis ultragarsas (t. y. NT tyrimas), kuris padeda įvertinti vaisiaus vystymąsi ir riziką dėl genetinių sindromų. Kraujo tyrimai gali būti atliekami kartu su echoskopija (t. y. pirmasis nėštumo trimestras skriningas). Būtina tęsti folio rūgšties vartojimą ir pasitarti su gydytoju dėl kitų papildų.
Apytiksliai kas 15 minučių Lietuvoje gimsta vienas kūdikis, pasaulyje - kone 3 000 naujagimių.