Naujagimio kvėpavimo sutrikimas tiesiogiai susijęs su kvėpavimo sistema, kuri apima plaučius, bronchus ir diafragmą. Naujagimiams kvėpavimo takai yra dar nesubrendę, todėl bet kokie sutrikimai gali turėti didelę įtaką jų gebėjimui efektyviai prisitaikyti prie naujos aplinkos.
Plaučių audinys ir alveoliai, kurie atsakingi už dujų mainus, gali būti nepakankamai išsivystę. Taip pat gali būti sutrikusi diafragmos funkcija, kas dar labiau apsunkina kvėpavimą.

Naujagimio kvėpavimo sutrikimas yra būklė, kai naujagimis turi sunkumų kvėpuoti, dažnai dėl nepakankamo plaučių išsivystymo arba kitų anatominių ypatumų. Ši liga gali pasireikšti įvairiomis formomis, pradedant nuo lengvo dusulio iki sunkių kvėpavimo nepakankamumo atvejų, kai reikalinga skubi medicininė intervencija.
Pagrindinės naujagimio kvėpavimo sutrikimo priežastys apima plaučių surfaktanto trūkumą, kuris yra medžiaga, reikalinga plaučių alveolių stabilizavimui. Be to, gali būti genetiniai veiksniai, tokie kaip paveldimos plaučių ligos arba anomalijos. Infekcijos, tokios kaip pneumonija, taip pat gali prisidėti prie šios ligos vystymosi.
Pagrindiniai naujagimio kvėpavimo sutrikimo simptomai gali būti: greitas arba lėtas kvėpavimas, dusulys, cianozė (odos, lūpų ar nagų mėlynavimas), nosies šnypštimas, krūtinės ląstos įdubimas, ir bendras silpnumas.
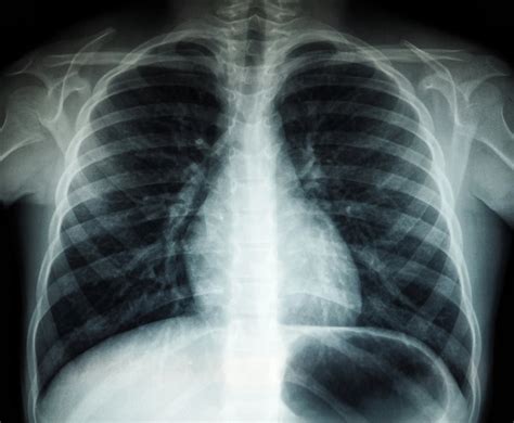
Naujagimio kvėpavimo sutrikimo diagnostika apima fizinį naujagimio ištyrimą, kurio metu vertinami kvėpavimo dažniai, širdies ritmas ir odos spalva. Taip pat gali būti atliekami radiologiniai tyrimai, tokie kaip krūtinės ląstos rentgenograma, siekiant įvertinti plaučių būklę.

Naujagimio kvėpavimo sutrikimo gydymas gali apimti tiek medicininius, tiek nemedicininius sprendimus.
Medicininiai gydymo būdai dažnai apima deguonies terapiją, surfaktanto terapiją, ir mechaninę ventiliaciją, jei reikia. Be to, gali būti naudojami vaistai, tokie kaip bronchodilatatoriai, siekiant palengvinti kvėpavimą.
Nemedicininiai sprendimai gali apimti naujagimio pozicionavimą, kad būtų palengvintas kvėpavimas. Naujausios terapijos galimybės, tokios kaip genų terapija, šiuo metu yra tiriamos, siekiant pagerinti naujagimių kvėpavimo funkciją ir sumažinti komplikacijų riziką.
Kvėpavimo sustojimas gali būti vienas iš baisiausių dalykų, kurie gali nutikti kam nors jūsų aplinkoje. Kai kažkas blokuoja kvėpavimo takus, paveiktas asmuo negali kvėpuoti. Tuomet svarbu veikti greitai ir padėti žmogui pašalinti tai, kas užkimšo kvėpavimo takus. Jei objekto negalima pašalinti, asmuo rizikuoja uždusti iki mirties.
Kvėpavimo takų obstrukcija gali turėti įtakos bet kuriam asmeniui, nepriklausomai nuo amžiaus. Tiek maži vaikai, tiek suaugusieji gali įsikišti į gerklę ką nors, kas įstrigo vėjo vamzdyje. Tai dažnai apima maistą, kuris buvo prarytas per dideliais gabalėliais, tačiau tai taip pat gali būti maži žaislai ar panašūs dalykai. Jiems bendra tai, kad nukentėjusiam asmeniui reikia skubios pagalbos.
Tačiau, kaip padėti žmogui, kuriam sustojo kvėpavimas, skiriasi. Mažas kūdikis negali gauti tokio paties gydymo kaip suaugęs. Kūnai tiesiog skiriasi trapumu ir išsivystymu. Kvėpavimo takų obstrukcija mažiems vaikams yra rizika, su kuria nuolat susiduria visi tėvai, ypač valgio metu.
Kaip ir suaugusį, kūdikį gali išgelbėti smūgiai nugara ir stūmimas į krūtinę. Tačiau tai turi būti daroma atidžiau. Geriausias dalykas yra suderinti smūgius nugarą ir pilvo spaudimą, kad padėtų žmogui, kuriam sustojo kvėpavimo takai.

Jei kam nors užstrigo kvėpavimo takai, daiktą reikia pašalinti per kelias minutes. Priešingu atveju dėl dusulio gali uždusti ir sustoti širdis - tokiu atveju reikia pradėti širdies ir plaučių gaivinimą, kol atvyks greitoji pagalba.
Mokymai, kaip elgtis kvėpavimo takų obstrukcijos atveju, yra svarbūs, juolab kad tai gali atsitikti praktiškai bet kur. Todėl gaivinimo treniruočių metu sužinosite, kaip padėti kūdikiui, vaikui ir suaugusiajam, kuriam sustojo kvėpavimas.
Labai geras būdas pašalinti kvėpavimo takuose įstrigusius objektus yra naudoti Heimlicho manevrą (vyresniems vaikams ir suaugusiesiems). Tokios priemonės kaip ActFast treniruočių liemenė nuo kvėpavimo takų obstrukcijos gali būti naudojamos mokant, kaip veikia Heimlicho manevras ir kitos gelbėjimo technikos.
Tai puiki priemonė dalyviams išbandyti ir pilvo stūmimus, ir smūgius nugara. Vienas dalyvis apsivelka treniruočių liemenę, kuri sukuria realią situaciją. Nugara ir skrandis yra apsaugoti, o tai reiškia, kad kiti dalyviai gali treniruotis smūgius atgal ir pilvo stūmimą dalyviui jo nesužalodami. Praktikuojant šias technikas ant žmogaus sukuriama tikroviška situacija ir taip pat lengviau nei praktikuojant su standžiu manekenu. Todėl ActFast treniruočių liemenė yra puiki pagalba treniruojant CPR.
Pilvo stūmimas, Heimlicho manevro ir smūgių atgal forma, yra tai, kas paprastai gali išjudinti kvėpavimo takuose įstrigusius objektus. Taikant tinkamą techniką ir jėgą, tai gali padėti išgelbėti daugybę gyvybių.
tags: #naujagimio #kvepavimo #taku #atverimas