Dantų traumos dažniausiai nutinka staigiai ir netikėtai. Jas patirti galime bet kur: sporto salėje, darbe, gatvėje ar tiesiog namuose. Žiemą dėl slidžių paviršių ši rizika išauga dar labiau. Didžioji dalis dantų traumų yra patiriama žmonių iki 20 metų, o dažniausiai jos pasitaiko tarp vaikų dėl didesnio jų fizinio aktyvumo. Ikimokyklinio amžiaus vaikų burnai tenka 17 proc. viso kūno traumų. Nuo pirmosios pagalbos kokybės ir savalaikiškumo tiesiogiai priklauso tolesnio gydymo rezultatai.
Dantų traumos gali turėti rimtų padarinių tiek šypsenos estetikai, tiek sveikatai. Patyrus dantų traumą, nepriklausomai nuo jos pobūdžio, rekomenduojama pasikonsultuoti su odontologu. Svarbu žinoti, kad patyrus dantų traumą svarbi kiekviena minutė ir reaguoti reikia nedelsiant - tai gali padėti sumažinti pažeidimo mastą ir išgelbėti pažeistus dantis ar audinius, sušvelninti traumos padarinius. Kiekvienu atveju itin svarbi greita reakcija. Ji gali padėti išgelbėti pažeistus dantis ir kitus burnos audinius arba bent jau sumažinti gresiančias pasekmes.
Dantų traumos gali būti labai įvairios: tiek pakankamai lengvos, tiek vidutinės, tiek itin sunkios. Priklausomai nuo patirtų sužalojimų, priklauso ir reikalingas gydymas. Nors traumas patiria įvairaus amžiaus žmonės, yra nustatyta, kad didžioji dalis traumų (80 proc.) įvyksta jauniems žmonėms iki 20 metų amžiaus. Dažniausiai traumų metu pažeidžiami pastovieji, viršutinio žandikaulio kandžiai. Pieniniai dantys traumų metu būna pažeidžiami rečiau ir traumos metu dažniausiai patiria apydančio audinių traumas - jie išnyra.
Dažniausiai pasitaikančių dantų traumų rūšys:
Jei dantis pieninis, pasitarti su gydytoju odontologu taip pat rekomenduojama.

Kiek kitaip gydomos pieninių dantų traumos. Dažniausiai taikoma stebėjimo praktika, siekiama įsitikinti, kad pieninio danties trauma neturi neigiamos įtakos nuolatinių dantų užuomazgoms. Įvykus pieninio danties traumai, visada reikia turėti omenyje, kad pastoviojo danties užuomazga ir pieninio danties šaknis yra labai arti viena kitos. Tiek pati trauma mechaniškai, tiek laiku nesuteiktas tinkamas gydymas ir vėliau atsirandantis uždegimas, gali paveikti nuolatinius dantis.
Išmušto pieninio danties nereikia savarankiškai įstatyti. Dažnai tėvai suranda išmuštą pieninį dantį ir prašo jį atstatyti. Pieninio danties replantuoti nereikia. Tačiau įvykus tokiai net ir pieninio danties traumai būtina kreiptis į gydytoją odontologą. Ne tam, kad būtų išsaugotas pažeistas dantis, bet tam, kad ateityje, pasirodžius nuolatiniam dantukui, žinotume apie galimas pasekmes. Įmušus pieninį dantį, kyla pavojus nuolatinio danties užuomazgai, gali būti pažeistas danties vainikas ir dėl to gali pakisti nuolatinio danties spalva.
Išdygus naujam dantukui jis gali būti su baltomis ar gelsvomis dėmelėmis, gali atsirasti emalio ar danties formos pakitimų ar netgi sutrikti nuolatinio danties dygimas.

Atskirai verta aptarti atvejį, kai įmušamas pieninis dantis. Jeigu įmuštas pieninis dantis, galima dvejopa gydymo taktika: tokį dantį pašalinti arba tiesiog palikti taip, kaip yra, ir stebėti. Tiesa, svarbu įvertinti, kad įmušus pieninį dantį, atsiranda pavojus nuolatinio danties užuomazgai, nes gali būti pažeistas pastarojo vainikas ir todėl pakisti jo spalva. Todėl įvykus tokiai net ir pieninio danties traumai būtina kreiptis į odontologus.

Danties vainiko lūžis - nulūžta dalis danties aukščiau dantenų. Lūžis, dėl kurio atsiveria danties pulpa (nervas) yra vadinamas komplikuotu. Jei nulūžo dantis ar jo dalis, pasistenkite ją surasti ir drėgmėje (piene, seilėse, fiziologiniame tirpale, blogiausiu atveju vandenyje) atsinešti pas gydytoją odontologą. Jei lūžio linija bus lygi, o dantis nesutrupėjęs, gydytojas danties vainiko dalį priklijuos atgal. Priklausomai nuo to, kokia jo dalis nuskilo, gali užtekti dantį tik nulyginti arba atstatyti netektą dalį plombuojant. Jei nulūžo pusė ar daugiau danties - reikia surasti nuskilusio danties dalį, įdėti į indelį su seilėmis arba pienu bei atsinešti pas gydytoją odontologą.

Dantų šaknų lūžiai sudaro apie 2-4 procentus pieninių dantų traumų. Jų metu pažeidžiami ne tik kietieji, bet ir pulpos audiniai. Šaknies lūžio metu yra pažeidžiamas danties struktūros vientisumas. Tai reiškia, kad įvykus traumai, kai lūžta šaknis, gali plyšti jungiamieji raiščiai, išjudėti dantis arba skilti danties emalis, gali būti pažeistas vidinis danties audinys - pulpa. Jeigu šaknies lūžis nediagnozuojamas laiku, gali pasireikšti pulpos nekrozė, pakisti danties spalva arba atsirasti vėlyvosios komplikacijos, pavyzdžiui, danties ankilozė (suaugimas su kaulu) ar šaknies rezorbcija (tirpimas).

Patiems pastebėti emalio įtrūkimus gali būti sunku - tam reikėtų apsilankyti pas odontologus. Patyrus tokią traumą išoriškai gali nesimatyti jokių pakitimų arba pasireikšti kraujavimas iš dantenų vagelės, danties skausmas liečiant. Bet kokiu atveju rekomenduojama apsilankyti pas odontologą ir patikrinti, ar sumuštas dantis vis dar gyvybingas. Net ir patyrus nedidelę traumą gali būti sutrikdoma danties kraujotaka ir tai lemti jo spalvos pokyčius (pavyzdžiui, patamsėjimą), nervo žūtį ar netgi danties netekimą. Sumušimo atveju gali būti pažeidžiamas pulpos kraujagyslių pluoštelis ir danties pulpa gali nekrotizuoti. Jei pastebėjote, kad dantis tapo paslankus, sukąskite jį ir venkite judinti (tai gali sukelti antrinę traumą), nedelsdami skubėkite pas odontologą.

Pirmąją pagalbą suteikia nekvalifikuoti asmenys - tėvai, artimieji, praeiviai. Dažnai artimiesiems ir patiems sužeistiesiems trūksta žinių, kad padėtis būtų įvertinta tinkamai. Nedelsiant kreipkitės į gydytoją odontologą.
| Terpė | Pastabos |
|---|---|
| Šaltas pienas | Lengvai prieinama, palaiko dantį gyvybingą. |
| Kiaušinio baltymas | Gera alternatyva pienui, jei jo nėra. |
| Kūdikių pieno mišinys | Tinka dėl panašios sudėties į pieną. |
| Akių lęšiams skirtas skystis | Sterilus, tinkamas, jei turite po ranka. |
| Propolio tirpalas | Specializuota, ne visada prieinama. |
| Kokoso pienas | Gali būti naudojamas kaip alternatyva. |
| Paciento burnos ertmė | Už žando ar po liežuviu, jei nėra kitų terpių (rekomenduojama tik suaugusiems ar vyresniems vaikams, kurie gali išlaikyti dantį saugiai). |
Svarbu! Transportuojant dantį reikia palaikyti žemą temperatūrą, transportavimo terpę šaldant ledo gabaliukais ar termose. Blogiausiu atveju, jei šalia nėra jokios tinkamos terpės ir pacientas reaguoja adekvačiai, galima išmuštą dantį užkišti už skruosto ar po liežuviu ir kuo skubiau vykti į odontologijos kliniką.
Priežastys, kodėl atsitikus dantų traumai greitas reagavimas yra itin svarbus:

Tai, kaip reikėtų elgtis ir kokį gydymą taikyti patyrus danties traumą, priklauso nuo jos pobūdžio. Odontologas nedelsdamas suteiks informaciją, ką daryti konkrečios dantų traumos atveju. Dantų traumos gydomos atliekant įvairias odontologines ar chirurgines procedūras. Jų parinkimas priklauso nuo traumos tipo, todėl pirmiausia itin svarbi traumos diagnostika. Jai dažnai pasitelkiamos dantų rentgeno nuotraukos, gali būti atliekami papildomi tyrimai. Gydytojas padarys kelių krypčių rentgeno nuotraukas ir net priešingo žandikaulio dantų rentgeno nuotraukas, kad įvertintų, ar neįvyko šaknies lūžis. Dažnai padarius rentgeno nuotraukas, išaiškėja, kad dantų trauma sudėtingesnė, nei pasirodė iš pirmo žvilgsnio.
Patyrus lengvą traumą gydymo gali apskritai neprireikti, pavyzdžiui, maži dantų skilimai, kurie neatveria pulpos, yra šlifuojami, pašalinant aštrius kampus. Jei traumos metu pažeidžiama pulpa, vyksta jos nekrozė, būtinas kanalų valymas. Dantų išnirimai yra vienos pavojingiausių traumų, jų metu gali būti pažeistas alveolinis kaulas, nutrauktas kraujagyslių ir nervų pluoštelis. Pilno išmušimo atveju visuomet įvyksta pulpos nekrozė ir alveolinio kaulo lūžis. Gydytojas odontologas tinkamai paruoš išmuštą dantį ir įstatys į alveolę bei įtvers.

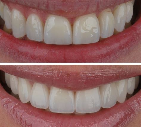
Štai vienas pavyzdys, rodantis sudėtingų dantų traumų gydymo galimybes, net jei tai ne pieninio danties atvejis:
TINAS klinikoje atliktas gydymo atvejis po dantų traumos: Traumos gydymas ir estetinis protezavimas. Pacientas kreipėsi po stiprios dantų traumos. Atliktas 4 priekinių lūžusių ir nekrotizavusių dantų endodontinis gydymas ir protezavimas cirkonio vainikėliais, bei kitų dantų baltų dėmių šalinimas ICON metodu. Šis atvejis rodo, kad net ir po sudėtingų traumų, taikant pažangius gydymo metodus, galima atkurti dantų funkciją ir estetiką.

Dantų traumas dažniausiai sukelia išoriniai veiksniai, smūgis, sutrenkimas. Jos patiriamos netikėtose situacijose, kurias sunku prognozuoti. Kai kuriais atvejais galima imtis atsargumo priemonių, pavyzdžiui, sporto metu dėvėti apsauginę kapą, kuri amortizuoja smūgio jėgą. Apsauginės kapos yra patikimas būdas sumažinti dantų traumų tikimybę, todėl jas rekomenduojama dėvėti sporto, aktyvaus laisvalaikio, ekstremalių užsiėmimų metu.
Lietuvoje, kažkodėl tai nėra labai populiaru. O juk daugiausia traumų paaugliai patiria sportuodami. Apsauginės kapos padeda sportuojantiems išvengti dantų ir minkštųjų burnos audinių sužalojimų. Jos yra patogios, neturi kvapo ir skonio, minimaliai trukdo kvėpuoti ir kalbėti, yra atsparios mechaniniams pažeidimams. Apsauginės kapos paskirsto smūgio jėgą didesniame paviršiaus plote, taip sumažindamos poveikį vienai konkrečiai sričiai. Vis dėlto nuo visų dantų traumų apsisaugoti nepavyks, todėl svarbu žinoti, kaip elgtis tokioje situacijoje.
Kitos prevencinės priemonės:

Dantų traumos gali sukelti tam tikrų sveikatos problemų. Jos didina infekcijos ir uždegimo riziką, o tai gresia ėduonies susidarymu ir dantų bei burnos audinių pažeidimais, skausmu. Dantų netekimas - skaudus įvykis, o šypsenos estetikos trūkumas kelia įvairių psichologinių problemų, kenkia pasitikėjimui savimi, mažina savivertę. Kramtymo funkcijos sutrikimai gali kelti iššūkių virškinimo sistemai, organizmui gali būti sunkiau absorbuoti maistines medžiagas.
Nuolatinių dantų traumų pagrindinės komplikacijos: pulpos nekrozė, danties vainiko spalvos pokyčiai, dantų ankilozė (kai nelieka periodonto raiščio ir dantis suauga su kaulu), danties šaknies rezorbcija (danties šaknies tirpimas). Svarbiausia atkurti pažeidimus ir užkirsti kelią komplikacijomis, nes jos ne tik kelia dantų netekimo grėsmę, bet ir gerokai padidina gydymo kaštus.
